全球首個TAVR vs. SAVR治療中高危主動脈瓣反流對照研究入組接近尾聲 !
發布時間:
2025-08-15
本文轉載自【嚴道醫聲網】
臨床挑戰:外科手術高危患者的“生命困局”
主動脈瓣反流(AR)這一心臟瓣膜疾病的隱匿威脅,長期以來面臨治療選擇局限的難題。傳統外科主動脈瓣置換術(SAVR)雖療效確切,但臨床存在大量高齡,合并癥多、心功能差的患者,卻又因外科高危或禁忌而最終未能接受外科手術,這一群體亟需更安全的解決方案。

TAVR vs. SAVR頭對頭隨機對照研究啟動
2024年3月,由浙江大學醫學院附屬第二醫院王建安院士和華中科技大學同濟醫學院附屬協和醫院董念國教授共同牽頭的一項“經導管主動脈瓣置換系統(TAVR)與傳統外科主動脈瓣置換術(SAVR)頭對頭隨機對照研究”在全球范圍內率先啟動。該研究針對傳統外科手術中高危的嚴重主動脈瓣反流(AR)患者,以"微創化外科級療效"為目標,為患者提供全新選擇——既突破傳統TAVR在單純AR治療中的技術局限,又避免SAVR的開胸手術風險,通過創新的經導管植入技術實現與外科手術相當的長期療效。研究納入10余家中心,所有患者計劃進行1年臨床評估及超聲心動圖隨訪。

研究進展及結果:

截止目前,臨床試驗進展順利,入組已接近尾聲。中期分析顯示手術成功率和安全性指標均符合預期標準。

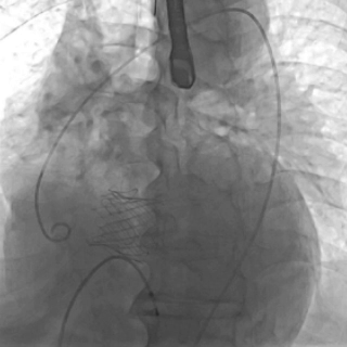
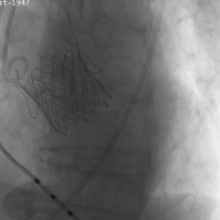
瓣膜功能、形態良好,未見反流
微創技術與外科手術的協同發展
本研究絕非TAVR與SAVR的對立,而是治療策略的豐富與進化,為臨床提供更精準的決策依據:
對低危患者,SAVR仍是耐久性首選;
對中高危患者,DOCS VALVE? 有望成為優選。
參與試驗的心臟外科專家指出:“這項研究的臨床價值在于,它讓那些原本因高風險而失去手術機會的主動脈瓣反流患者,現在能夠獲得與外科手術相當的療效,這無疑是醫療技術的一次重大突破。”
DOCS VALVE? 臨床試驗的啟動,其意義已超越單一技術突破,更代表著中國在制定全球心血管介入治療標準方面正發揮著越來越重要的引領作用。DOCS VALVE? 所展現的"中國智慧",正在為世界范圍內的主動脈瓣反流患者帶來全新的治愈希望。
DOCS VALVE? 瓣膜植入動畫
2025-05-08
2025-04-17
2024-12-21
2024-10-15
2024-09-28