【精選病例】經食道超聲(TEE)引導下卵圓孔未閉封堵一例(第4期)
發布時間:
2024-09-01

//
患者信息
男性患者,6個月前無明顯誘因出現間斷頭暈、頭痛,用藥后未見明顯緩解,1月前明顯加重,神經內科就診,行相關檢查示,頭頸部MRA未見明顯異常,頭部核磁未見明顯異常;右心聲學造影陽性(RLS III級),提示卵圓孔未閉。
//
封堵策略
鑒于患者聲窗條件不佳,靜息狀態下經胸超聲難以明確卵圓孔未閉的具體情況,為確保手術操作的精準性與安全性,故擬行單純經食道超聲引導下經股靜脈介入封堵術。
此方案的優勢在于,不僅可以提供比經胸超聲更為清晰的心臟結構圖像,而且顯著降低了患者所受的輻射暴露,尤其適用于聲窗受限的患者。是一種集高效、精準、安全于一體的治療方法。
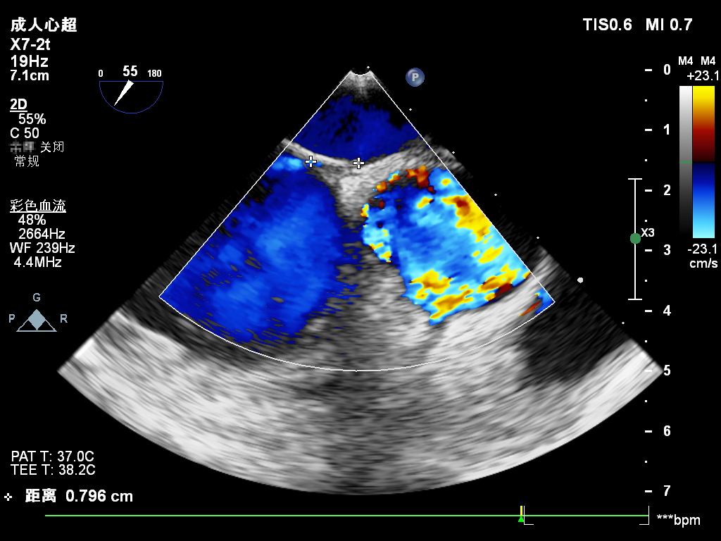
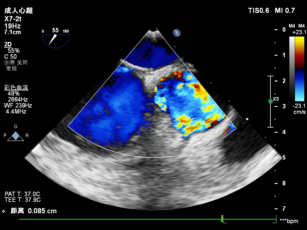
本例患者靜息狀態下PFO隧道長度7.96mm,開口0.85mm,故選用D-shufo 1824-3封堵器,配套9F封堵器介入輸送系統,完成手術封堵。


//
封堵過程
手術在TEE引導下進行,測量右鎖骨中線第3肋間至右股靜脈穿刺點距離,并在導管、封堵器輸送系統、鋼纜及導絲上標記。
穿刺右側股靜脈,置入動脈鞘管,靜脈注射肝素80U/kg。經動脈鞘管送入6F右心導管及泥鰍導絲,在超聲引導下將導管及導絲送過未閉卵圓孔,交換加硬導絲,退出導管及動脈鞘管。
沿加硬導絲將9F輸送鞘送至左心房,退出導絲及輸送鞘內芯后,在超聲引導下送入1824PFO封堵器進行封堵。先釋放左盤面,整體回撤,緊貼房間隔,后釋放右盤面,進行推拉試驗,超聲在主動脈短軸切面、四腔心切面確認封堵器對二尖瓣等周圍組織無影響,位置及形態良好后釋放封堵器。撤出長鞘、縫合穿刺點后壓迫止血,加壓繃帶包扎,手術結束。

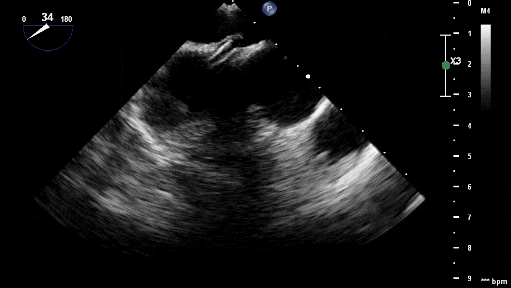
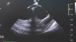
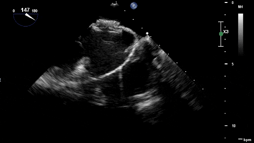
導管嘗試過隔

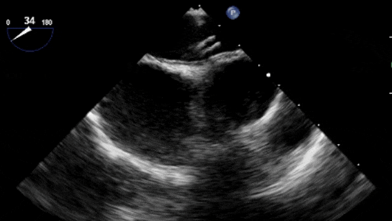
鞘管到達左心房
術中配套使用的Astross?系列封堵器介入輸送系統,頭端仿穿刺鞘彎型設計,較其他輸送系統而言,進一步優化了器械的通過性和靈活性,有效減少了手術過程中的潛在并發癥,特別適用于超聲引導下的精細操作。

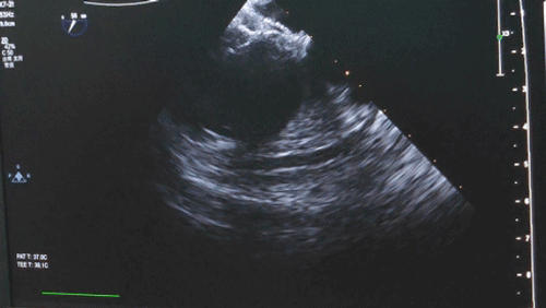
釋放左盤面及腰部

釋放右盤面

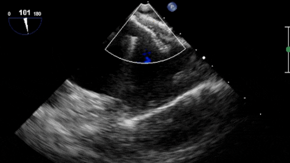
牽拉試驗

超聲觀察對周圍組織無影響

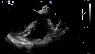
封堵器釋放后成型良好,無殘余分流
//
病例小結
超聲引導下的介入封堵術,作為一種先進的微創治療方法,避免了放射線和造影劑的使用,從而消除了輻射損傷的風險,也減少了過敏和腎功能損傷等潛在并發癥。這種術式以其安全、有效的特點,已然成為介入治療的重要方式之一。
然而,要成功實施這一手術,術者需具備深厚的心臟解剖知識和熟練的超聲影像操作技巧。隨著技術的不斷發展和經驗的積累,越來越多的醫生能夠熟練掌握這一技術,幫助患者獲得了更加安全、有效、微創的治療體驗。
D-shufo? PFO 封堵器及配套的Astross? 輸送系統,完美契合了TEE引導下手術方式對精準性、安全性與高效性的要求。尤其Astross? 輸送系統,以其頭端仿穿刺鞘設計,實現封堵器在TEE下每一步精準操控,無疑是該術式的理想選擇。

專家簡介
張琭教授
信陽市人民醫院
心臟中心主任,醫學碩士,德國柏林心臟中心訪問學者。內蒙古醫師協會心血管外科分會第一屆委員會常委兼秘書長,內蒙古自治區醫學會心臟大血管病學分會第十屆委員會委員。擅長先天性心臟病、心臟瓣膜病,常規開展冠狀動脈搭橋術、主動脈夾層、覆膜支架等大血管疾病雜交手術,累計完成超萬例手術。
END
版權聲明:
唯醫心聞作為專注于心血管領域的學術交流平臺,致力于傳播專業、權威且前沿的醫學知識。本公眾號所發布的所有文章內容,其版權均歸屬原作者或相關版權持有人所有。
免責聲明:
1. 本公眾號所發布的內容僅代表專家個人的醫療和學術觀點,不(得)用于對任何醫療服務或醫療產品的推廣或推薦。
2. 本公眾號所發布的內容僅供參考,不構成專業醫療建議或治療指導。
3. 唯醫心聞保留對本聲明及公眾號內容的最終解釋權。我們有權根據實際情況對聲明內容進行適時調整與更新,以確保其符合相關法律法規及平臺運營需求。
2025-05-08
2025-04-17
2024-12-21
2024-10-15
2024-09-28
